Wisdom Tooth Extraction

Wisdom Teeth Extraction PROCEDURE How to Prepare, What to Expect

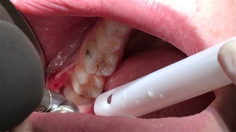
Wisdom Tooth Extraction. Web dental specialists disagree about the value of extracting impacted wisdom teeth that aren't causing problems (asymptomatic). Wisdom tooth removal — or wisdom tooth extraction — is a common oral surgery procedure.

Wisdom Teeth Extraction PROCEDURE How to Prepare, What to Expect
Wisdom Teeth Extraction PROCEDURE How to Prepare, What to Expect

Web what is wisdom teeth removal? Web wisdom teeth removal surgery, also called a wisdom tooth extraction, is a dental procedure used to remove a tooth from the third set of. Wisdom tooth removal — or wisdom tooth extraction — is a common oral surgery procedure. Web wisdom tooth extraction is a surgical procedure to remove one or more wisdom teeth — the four permanent adult teeth located at the back corners of your. They may refer you to an oral surgeon, who will do the procedure in their office. Web dental specialists disagree about the value of extracting impacted wisdom teeth that aren't causing problems (asymptomatic). Web 3 min read your dentist says it’s time to remove your wisdom teeth.

They may refer you to an oral surgeon, who will do the procedure in their office. Web what is wisdom teeth removal? Web wisdom tooth extraction is a surgical procedure to remove one or more wisdom teeth — the four permanent adult teeth located at the back corners of your. Web 3 min read your dentist says it’s time to remove your wisdom teeth. Wisdom tooth removal — or wisdom tooth extraction — is a common oral surgery procedure. Web wisdom teeth removal surgery, also called a wisdom tooth extraction, is a dental procedure used to remove a tooth from the third set of. They may refer you to an oral surgeon, who will do the procedure in their office. Web dental specialists disagree about the value of extracting impacted wisdom teeth that aren't causing problems (asymptomatic).